




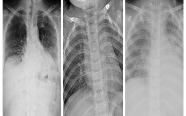
May 19, 2020
School of Engineering Team, Led by Karen Panetta, Uses AI and Machine Learning to Develop Software That Identifies COVID-19 Pneumonia

May 7, 2020
Kathleen Fisher, Professor and Chair, Appointed to the Computing Community Consortium (CCC) Council

April 21, 2020
Professor Lenore Cowen Receives 2020 Undergraduate Research Mentoring Award by the National Center for Women and Information Technology

April 8, 2020
Computer Science alumna Hayley Cohen Featured on Behind the Podium Podcast Series

April 8, 2020
Agent of Influence Podcast: Ming Chow, Associate Teaching Professor, Talks Evolution of Cybersecurity Education

April 2, 2020
Tufts Students and Alumni Receive Exceptional Honor As National Science Foundation Graduate Research Fellows

February 6, 2020
Professor and Associate Chair Jeffrey Foster of the Department of Computer Science Recognized for Influential Paper

February 4, 2020